Ιουλίου 31, 2017

ΛΟΙΜΩΞΕΙΣ ΑΝΘΕΚΤΙΚΕΣ


• 2 εκατομμύρια λοιμώξεις λόγω μικροβιακής αντοχής ετησίως στις ΗΠΑ
• 23.000 θάνατοι από λοιμώξεις ανθεκτικές
• Επείγουσα προσοχή πρέπει να δοθεί στα εξής παθογόνα: Clostridium difficile, Carbapenem‐resistant Enterobacteriaceae (CRE), Drug‐resistant Neisseria gonorrhoea

CDC 2017


Ιουλίου 30, 2017

ΗΠΑΤΙΤΙΔΑ Β-C / ΕΥΡΩΠΗ


Υπολογίζεται ότι στην Ευρώπη 4.7 εκατομμύρια πάσχουν από χρόνια ηπατίτιδα Β και 3.9 εκατομμύρια από χρόνια ηπατίτιδα C.

Το ECDC τονίζει ότι πέραν αυτού πρόβλημα είναι η διάγνωση, ότι υπάρχει μεγάλος αριθμός πασχόντων που δεν έχουν διαγνωσθεί και ότι τα ποσοστά αδιάγνωστης νόσου κυμαίνονται μεταξύ 45 έως 85% για την HBV και 20 έως 89% για την HCV, σε διάφορες χώρες.

ECDC / 26-07-2017


ΗΠΑΤΙΤΙΔΑ Β-C / ΙΝΔΙΑ

Παρά τις προσπάθειες για ασφαλές αίμα και για γενικό εμβολιασμό, η Ινδία υποφέρει (μεταξύ άλλων) από την αυξημένη συχνότητα ηπατίτιδας. Περίπου 50.000.000 άτομα πάσχουν από τη νόσο, 40.000.000 από ηπατίτιδα Β και 6-12.000.000 από ηπατίτιδα C. Οι πλείστες των περιπτώσεων είναι αιματογενούς προελεύσεως. 
Κάθε χρόνο καταλήγουν από τη νόσο (είτε τη μία είτε την άλλη μορφή) περί τα 150.000 άτομα.

HindustanTimes / 28-07-2017




Τα νούμερα είναι μεγάλα ακόμη και για τα δεδομένα της Ινδίας (1 δισ. πληθυσμός). Το πρόβλημα της παρεντερικά μεταδιδόμενης ηπατίτιδας είναι σημαντικό διεθνώς, παρά τα από δεκαετίας υπάρχοντα ασφαλή και αποτελεσματικά εμβόλια.


Ιουλίου 27, 2017

Ν. PARKINSON - ΕΙΝΑΙ ΑΥΤΟΑΝΟΣΟ ΝΟΣΗΜΑ ;


Είναι η ν. Parkinson αυτοάνοσο νόσημα;  Πιθανόν αυτό να συμβαίνει σύμφωνα με μια πρόσφατη μελέτη που διαπίστωσε ότι το ανοσιακό σύστημα μπορεί να αναγνωρίζει ως ξένες διάφορες πρωτεϊνες του οργανισμού που λόγω ηλικίας υφίστανται μεταβολές. Έτσι επιτίθεται εναντίον τους και η πάθηση παίρνει χαρακτηριστικά αυτοάνοσου νοσήματος.


ΝΙΗ News Releases, 27-07-2017


Ιουλίου 24, 2017

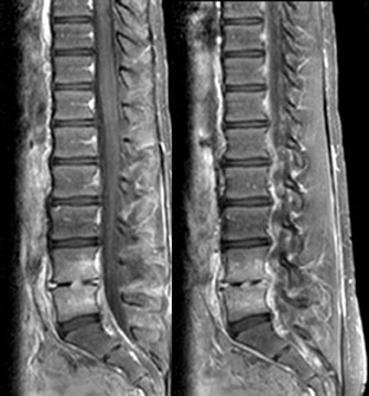
ΔΙΣΚΙΤΙΔΑ



Παιδί 11 χρόνων με άλγος στη δεξιά οσφυική χώρα, χωρίς άλλα κλινικά ευρήματα και με αυξημένη ΤΚΕ (111). Ιστορικό πτώσεως προ 8 μηνών κατά τη γυμναστική.  

Τέθηκε η διάγνωση δισκίτιδας και με δεδομένο ότι συχνότερο αίτιο είναι ο σταφυλόκοκκος, το παιδί έλαβε IV κλινδαμυκίνη και κεφτριαξόνη για 1 εβδομάδα και κλινδαμυκίνη από το στόμα για 7 εβδομάδες. 

Η πορεία του ήταν καλή και ουσιαστικά ιάθηκε.

Healio, July 2017


Ιουλίου 23, 2017

ΕΜΒΟΛΙΑΣΜΟΙ

Διεθνώς 1 στα 10 παιδιά είναι ανεμβολίαστο. Δεν έχει λάβει ούτε μία δόση ούτε ενός εμβολίου. 

Φυσικά αυτά τα παιδιά στερούνται και άλλων βασικών υπηρεσιών υγείας. 

WHO-UNICEF, July 2017 


Ιουλίου 21, 2017

ΝΕΡΟ



Οι 3 στους 10 ανθρώπους παγκοσμίως, δηλ. 2.1 δισεκατομμύρια άτομα, δεν έχουν ασφαλές και άμεσα διαθέσιμο νερό στο σπίτι τους. 


WHO 2017

Καλά λένε όλο και περισσότεροι ειδήμονες ότι ο επόμενος παγκόσμιος πόλεμος θα γίνει για το νερό.



Ιουλίου 20, 2017

Η ΚΑΤΑΛΗΞΗ ΤΟΥ ΑΝΘΡΩΠΟΥ;

Υπολογίζεται ότι περί το έτος 2050 θα έχουν 
παραχθεί 26 δισεκατομμύρια τόνοι πλαστικών αποβλήτων.
Υπολογίζεται  επίσης ότι όταν επέλθει το τέλος της ανθρώπινης ύπαρξης στον πλανήτη (άγνωστο μετά πόσα εκατομμύρια ή δισεκατομμύρια χρόνια) η μόνη ανάμνηση του πολιτισμού μας θα είναι κάποιες φτηνιάρικες πλαστικές σακούλες (ως γνωστόν το πλαστικό αποδομείται πολύ αργά). 

Εύγε μας !

Science, 19-07-2017


Ιουλίου 17, 2017

ΕΦΗΒΕΙΑ - ΚΙΝΔΥΝΟΙ

Πάνω από 3000 έφηβοι πεθαίνουν κάθε μέρα παγκοσμίως (1.200.000 ετησίως) από καταστάσεις που θα μπορούσαν να έχουν προληφθεί. Οι πλείστοι των θανάτων συμβαίνουν σε χώρες της Ασίας και της Αφρικής. Κύρια αίτια: Λοιμώξεις αναπνευστικού, τροχαία ατυχήματα, αυτοκτονίες.

WHO, 2017


Ιουλίου 15, 2017

ΑΚΡΟΛΙΘΙΑ ΠΡΕΒΕΖΗΣ
































Ακρολίθια Πρεβέζης. Από τα ωραιότερα κρυστάλλινα νερά. 
Ήσυχη τοποθεσία, λίγος κόσμος, απέραντο Ιόνιο, δροσερή αίσθηση μέσα στην καλοκαιρινή κάψα.
Η Ήπειρος είναι ένα κρυφό διαμάντι της Ελλάδος που ακόμη δεν έχει αξιοποιηθεί όπως θα έπρεπε. 
Οφείλει το κράτος να φροντίσει γι αυτό. 
Οι ξένοι καραδοκούν για υφαρπαγή των πάντων. 


Ιουλίου 14, 2017

ΠΟΣΟ ΜΥΑΛΟ ΘΕΛΕΙ;

Παρασκευή βραδάκι στη νέα παραλία, με αρκετή κίνηση, μια Mercedes C180 τρέχει υπερβολικά και ο οδηγός κάνει επικίνδυνους ελιγμούς. Να πάει που άραγε; Στον σηματοδότη αναγκαστικά σταματάει. Πλησιάζοντας, βλέπεις ιατρικό σήμα στο αυτοκίνητο (3 παρακαλώ, 1 μπροστά και 2 πίσω). Ο οδηγός σχετικά νέος (όχι τόσο νέος ώστε να είναι γιος, προφανώς νέος επηρμένος γιατρός). Και, ακούστε παρακαλώ, στο δεξί χέρι κρατάει κινητό και τσιγάρο μαζί. Αν είναι δυνατόν. Απορεί κανείς πως μπορεί να οδηγήσει με ασφάλεια αυτός ο οδηγός. Πως μπορεί  να αποφύγει κάτι απρόβλεπτο.

Μετά φωνάζουμε για τα ατυχήματα, για τους κακούς δρόμους, κλπ κλπ. Οι οδηγοί δεν φταίνε ποτέ. Αν ένας γιατρός δεν ξέρει ότι δεν χρησιμοποιείς κινητό όταν οδηγείς και φυσικά δεν πρέπει να καπνίζεις ποτέ, τότε τι ψάχνουμε;

Το άλλο θέμα: η τροχαία πού βρίσκεται; Κλήσεις για «παράνομο» παρκάρισμα βλέπουμε. Παρεμβάσεις σε τέτοιες ενέργειες δεν βλέπουμε.


ΚΑΤΑΘΛΙΨΗ – ΦΛΕΓΜΟΝΗ – ΑΝΤΙΒΙΟΤΙΚΑ


Μια κατάσταση που αφορά την ψυχιατρική, η κατάθλιψη, εκλύεται από ενεργοποίηση του ανοσιακού συστήματος σύμφωνα με μια θεωρία. Κατά την ενεργοποίηση αυτή αυξάνονται οι κυτταροκίνες και ειδικά οι προφλεγμονώδεις. Βρέθηκε λοιπόν ότι η μινοκυκλίνη, γνωστό αντιβιοτικό της τάξεως των τετρακυκλινών, αναστέλλει την παραγωγή των κυτταροκινών και εμμέσως βοηθά στην καταπολέμηση της κατάθλιψης.

Πολύ ενδιαφέρουσα άποψη.

Australian & New Zealand Journal of Psychiatry, June 2017


Ιουλίου 12, 2017

ΔΗΓΜΑΤΑ ΕΝΤΟΜΩΝ



  • Τα δήγματα εντόμων συνήθως δεν επιμολύνονται και η χρήση αντιβιοτικών για προφύλαξη δεν συνιστάται.
  • Τα τοπικά αντιισταμινικά δεν πρέπει να εφαρμόζονται σε μεγάλη έκτασης επιφάνεια.
  • Τα τοπικά αντιισταμινικά δεν πρέπει να χρησιμοποιούνται συγχρόνως με συστηματικώς χορηγούμενα Η1 αντιισταμινικά.  

Insect Bites - Medscape - June, 2017



Ιουλίου 10, 2017

HORSEPOX



"Τεχνητό" ιό συγγενή με τον ιό της ευλογιάς παρασκεύασαν Καναδοί ερευνητές. Πρόκειται για τον horsepox, που πιστεύουν ότι δεν βλάπτει τον άνθρωπο όπως ο ιός της ευλογιάς. Το θέμα όμως προκάλεσε αντιδράσεις και αντιρρήσεις.

Science 06-07-2017




Ιουλίου 07, 2017

Ιουλίου 03, 2017

ΑΛΛΕΡΓΙΑ ΣΤΗΝ ΠΕΝΙΚΙΛΛΙΝΗ


Ένα φαινόμενο που όλοι μαθαίναμε τη σπουδαιότητα του από τα φοιτητικά μας χρόνια. Όλοι το "φοβόμασταν" στην καριέρα μας. Μάλιστα η ύπαρξη του χαρακτήριζε τον ασθενή επί μακρόν και εμπόδιζε τον γιατρό να χορηγήσει αρκετά φάρμακα. Φαίνεται ότι αυτό εξακολουθεί να ισχύει. 

Όμως οι μελέτες λένε άλλα πλέον. Σημερινή μελέτη στο Pediatrics αναφέρει ότι τα ποσοστά αλλεργίας στο αντιβιοτικό είναι πολύ μικρότερα από ότι δηλώνονται. Οι ασθενείς με πραγματική αλλεργία είναι λίγοι. 

Έχει ενδιαφέρον να διαβάσει κανείς το άρθρο που καθοδηγεί και για τη σωστή διάγνωση της αλλεργίας.  


Pediatrics. Published online July 3, 2017


ΣΥΓΓΕΝΗΣ ΠΝΕΥΜΟΝΙΑ


Πνευμονία που είναι εμφανής εντός 24 ωρών από τη γέννηση. Διακρίνεται σε:

- αληθή συγγενή πνευμονία / ήδη υπάρχει κατά τη γέννηση

- πνευμονία κατά τον τοκετό / αποκτάται κατά τη δίοδο από τον κόλπο

- πνευμονία μετά τον τοκετό / εκδηλώνεται μετά το πέρας του τοκετού, συνήθως το πρώτο 24ωρο  

Συχνότερο αίτιο παραμένει ο Group B Streptococcus (GBS). Άλλα αίτια: Escherichia coli,      nontypable Haemophilus influenzae, Listeria monocytogenes, Enterococci,  Staphylococcus aureus (ενίοτε)Mycoplasma pneumoniae (σπάνια).

e-medicine


Ιουλίου 02, 2017

ΡΙΒΟΣΩΜΑΤΑ




Τα ριβοσώματα, γνωστά και ως εργοστάσια παραγωγής πρωτεϊνών πάσης φύσεως, βρίσκονται σε κάθε κύτταρο. Πρόσφατα διαπιστώθηκε ότι η παραγωγή πρωτεϊνης (μαύρο) από RNA (μπλε) μπορεί να είναι όχι μόνο γενική αλλά και εξειδικευμένη για συγκεκριμένη πρωτείνη.

Αν αυτός ο τρόπος γίνει δυνατόν να ελεγχθεί, ίσως ελεγχθούν και οριμένες ασθένειες οι οποίες προκύπτουν από την έλλειψη πρωτεϊνών.


Science, June 2017


Ιουλίου 01, 2017

ΛΟΙΜΩΔΗ ΝΟΣΗΜΑΤΑ ΔΙΕΘΝΩΣ


Τα λοιμώδη νοσήματα μειώνονται αλλά δεν εξαφανίζονται. Μερικοί αριθμοί που δείχνουν τα κρούσματα διεθνώς για ορισμένα νοσήματα το 2005 και το 2015.


ΕΤΗ:    2005 / 2015

ΔΙΦΘΕΡΙΤΙΔΑ:     8.100 / 4.500

ΕΡΥΘΡΑ:               268.000 / 23.700

ΙΛΑΡΑ:                  585.700 / 210.000

ΚΟΚΚΥΤΗΣ:        152.800 / 142.500
(Να σημειωθεί ότι το 2012 τα κρούσματα του κοκκύτη ήταν 250.000)

ΠΑΡΩΤΙΤΙΔΑ:     619.000 / 385.000

ΤΕΤΑΝΟΣ:            15.300 / 10.300